Filosofía
En KANÉA creemos que la odontología moderna debe unir la precisión de la ciencia, la sensibilidad del arte y la profundidad del humanismo. Cada sonrisa se diseña con dedicación, detalle y un compromiso genuino por el bienestar de nuestros pacientes.
En cada tratamiento buscamos crear belleza funcional, salud duradera y experiencias memorables. Nuestro compromiso es acompañar a cada persona con empatía, claridad y excelencia clínica, ofreciendo resultados estéticos y funcionales que elevan su calidad de vida.
Visión
Ser la clínica dental de especialidades más reconocida en Cancún y México por transformar la experiencia odontológica en un proceso humano, artístico y científicamente impecable. Aspiramos a construir una red de clínicas donde KANÉA represente innovación, estética y excelencia en cada sonrisa.
DISEÑO DE SONRISA PREMIUM
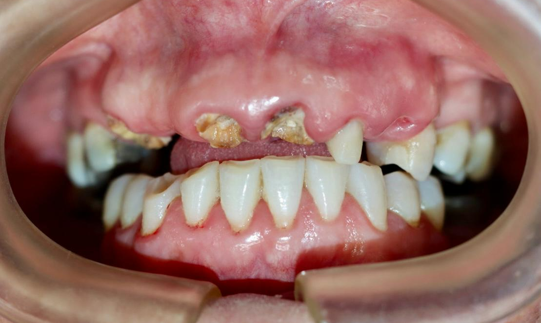
Periodoncia y Salud de Encías
La salud periodontal es la base de una sonrisa funcional y estética. En KANÉA realizamos diagnósticos completos y tratamientos avanzados para manejar enfermedades de encías, movilidad dental, pérdida ósea y problemas inflamatorios.
Aplicamos tecnologías modernas, procedimientos regenerativos y técnicas de mínima invasión que restauran la salud del tejido de soporte. Nuestro objetivo es detener el avance de la enfermedad, regenerar estructuras cuando es posible y preservar la estabilidad a largo plazo.
Con un enfoque preventivo y personalizado, acompañamos al paciente para mantener encías sanas, firmes y estéticamente equilibradas.
Odontología General y Preventiva
Creemos que la prevención es el camino más valioso hacia una salud oral duradera. Ofrecemos limpiezas profesionales, resinas estéticas, diagnósticos integrales, selladores, fluorización y mantenimiento clínico personalizado según las necesidades de cada paciente.
Nuestros tratamientos se realizan con materiales de alta estética y técnicas actuales que protegen la estructura dental y prolongan la salud del paciente. A través de educación, seguimiento y un enfoque humano, buscamos que cada visita contribuya al bienestar general y a la longevidad de la sonrisa.
Radiología y Diagnóstico Digital
Contamos con tecnología de diagnóstico de última generación: radiografía digital, fotografía clínica profesional y escaneo intraoral de alta precisión. Estas herramientas permiten un análisis profundo y exacto de la anatomía del paciente, asegurando diagnósticos certeros y planeaciones altamente predecibles.
El diagnóstico digital es el corazón de nuestra excelencia clínica. Nos permite visualizar estructuras internas, anticipar resultados, reducir riesgos, planear cirugías guiadas y ofrecer tratamientos altamente personalizados.
En KANÉA, cada decisión se fundamenta en información precisa, objetiva y detallada, garantizando seguridad, confianza y resultados superiores desde la primera consulta.
Turismo Médico
Atendemos a pacientes de México y del extranjero con procesos personalizados, protocolos digitales y logística optimizada.
Ofrecemos acompañamiento antes, durante y después del tratamiento para garantizar una experiencia segura y eficiente.
Historias Reales, Sonrisas Reales
Antes y después reales con resultados naturales, funcionales y estéticamente superiores.
Fotografías tomadas con protocolos profesionales para garantizar precisión y ética visual.













Enlace de texto